Röntgen kan minska framtida bröstbensskador hos värphöns
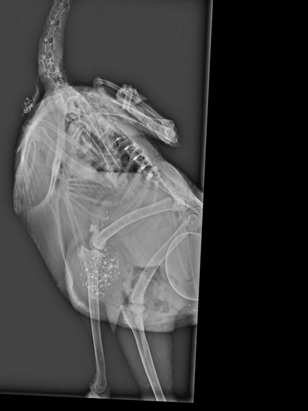
Skador på bröstbenet, såsom frakturer och böjningar, är vanliga hos både vita och bruna värphöns, oavsett hur de hålls. Forskare vid SLU har undersökt hur effektiv röntgenundersökning är för att upptäcka bröstbensskador, och om storleken hos hönans bäckenben har samband med skadorna.
Resultaten visar att röntgenundersökning av bröstbenets form och tjocklek är en bra metod för att upptäcka bröstbensskador, särskilt när det gällde deformationer. Det fanns ett samband mellan bentäthet och bröstbensskador, men kopplingen var inte så stark. Hönor med större bäckenhålor drabbades oftare av bröstbensskador. Ett ökat inre tryck från bäckenhålan på bröstbenets insida kan ge frakturer och deformationer i bröstbenet.
Genom röntgenundersökning i produktionsbesättningar kan hönornas benhälsa mätas på ett tillförlitligt sätt. Det skulle också kunna användas som avelsmetod, vilket kan leda till friskare och mer motståndskraftiga värphöns och förbättrad djurvälfärd i framtiden.
Länk till artikeln
Referens
Sallam M, Göransson L, Larsen A, Alhamid W, Johnsson M, Wall H, De Koning D-J, Gunnarsson S. 2024. Comparisons of longitudinal radiographic measures of keel bones, tibiotarsal bones, and pelvic bones versus post-mortem measures of keel bone damage in Bovans Brown laying hens housed in an aviary system. Frontiers in Veterinary Science 11. DOI=10.3389/fvets.2024.1432665
Kontakt
-
PersonStefan Gunnarsson, UniversitetslektorHusdjurens miljö och hälsa
