Läkemedelsmetaboliserande enzymer hos häst
Cytokrom P450 (CYP) är en stor familj av enzymer som metaboliserar många läkemedel inom human- och veterinärmedicinen. Det finns skillnader i uppsättning av dessa enzymer mellan arter vilket kan påverka hur läkemedlen omsätts och därmed den farmakologiska effekten.
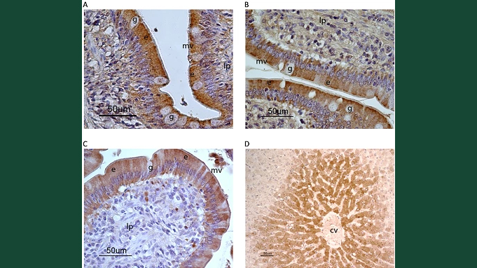
I den här studien har gen-och proteinuttryck och den cellulära lokalisationen hos enzymfamiljerna CYP1A, CYP2A, CYP2C, CYP2D och CYP2E kartlagts i tarm och i lever hos häst. Vävnadsprover har samlats in från friska hästar på slakteri. Resultaten visar att de olika enzymfamiljerna har sina egna specifika vävnadsuttryck. Till exempel fanns CYP2A endast uttryckt i levern, medan CYP1A och CYP2C visade högt uttryck i både tarm och lever.
De resultat som vi ser hos häst visar en del likheter jämfört med andra djurslag och även människa men det finns också många särdrag som är specifika för häst. Sammanfattningsvis har CYP enzymer i tarm och lever betydelse för hur stor mängd oralt tillfört läkemedel som når blodet och kan utöva effekt.
Studien är finansierad av Stiftelsen Hästforskning.
Länk till artikeln:
http://www.actavetscand.com/content/56/1/69
Referens:
Eva Tydén, Hans Tjälve and Pia Larsson Gene and protein expression and cellular localisation of cytochrome P450 enzymes of the 1A, 2A, 2C, 2D and 2E subfamilies in equine intestine and liver. Acta Veterinaria Scandinavica 2014, 56:69
Kontakt
-
PersonEva Tyden, ForskareHBIO, Avdelningen för livsmedelssäkerhet, infektionsbiologi, farmakologi och toxikologi (LIFT)